
Škripnje i stiskanje zubi
Bruksizam je oralna parafunkcijska aktivnost karakterizirana pretjeranim, nesvjesnim stiskanjem i škripanjem zubi. Kod takvog poremećaja pacijent klizi donjim zubima po gornjim te ih nepovratno oštećuje.
Pojava bruksizma je učestala i po istraživanjima zahvaća 8-31% populacije. U početku može uzrokovati minimalne simptome i ljudi dugo vremena nisu svjesni problema.
Glavni simptomi su atricija (trošenje žvačnih ploha zuba), frakture zuba, preosjetljivost zuba na podražaje zbog gubitka cakline i eksponiranosti dentina, glavobolje, bol i škljocanje temporomandibularnog zgloba, bol u žvačnim mišićima, trizmus (nemogućnost otvaranja usta u potpunosti).
Postoje dva tipa bruksizma
Postoje dva tipa bruksizma: bruksizam koji se pojavljuje za vrijeme dana dok je osoba budna i bruksizam koji se pojavljuje po noći (u snu). Noćni bruksizam uglavnom primjećuju partneri za vrijeme spavanja jer je osoba u potpunosti nesvjesna. Kod noćnog bruksizma najintenzivnije tegobe su prilikom buđenja – bolovi u žvačnim mišićima i čeljusnom zglobu, dok se u dnevnog bruksizma simptomi pojačavaju tijekom dana.
Prije se vjerovalo da je osnovni uzrok bruksizma neusklađenost zubnih lukova gornje i donje čeljusti, a po novijim istraživanjima da su osnovni uzroci psihološka stanja poput stresa, anksioznosti i napetosti. Pri kliničkom pregledu doktor dentalne medicine lako može primjetiti znakove bruksizma uočavanjem abradirane (potrošene) žvačne plohe zuba uz pozitivnu anamnezu bolova u području lica i čeljusti. Terapija bruksizma je dugotrajna i složena, a svodi se na terapiju mentalnog stresa i liječenje posljedica bruksizma na orofacijalni sustav.
Terapijska sedstva
STOMATOLOŠKA TERAPIJA: uključuje prilagodbu zagriza, udlage (noćne štitnike), farmakoterapeutike i fizikalnu terapiju.
PSIHOLOŠKA TERAPIJA: zadaća joj je kontrola i otklanjanje stresnog stanja kao mogućeg uzroka – grupna psihoterapija, hipnoza, promjene u stilu života i rada.
Najčešće terapijsko sredstvo su udlage (stabilizacijske) koje zaustavljaju daljnje trošenje zubnog tkiva te preveniraju opterećenje zuba i smanjuju bol u mišićima. Na temelju uzetog otiska izrađuju se individualno za svakog pacijenta, a rade se od čvrstog materijala (akrilata) debljine 2 mm koji prekriva sve zube gornje čeljusti. Nose se duži vremenski period tijekom spavanja.
No, jednom potrošeno zubno tkivo ne može se vratiti u prvobitno stanje te je kod jače istrošenosti potrebno pristupiti protetskoj terapiji kojoj često prethodi endodontska (liječenje zuba zbog posljedične preosjetljivosti). Nakon protetske sanacije apsolutno je indiciran nastavak terapije udlagama koje štite protetske radove i zube od daljeg trošenja i stabiliziraju odnose u čeljusnom (temporomandibuarnom) zglobu.
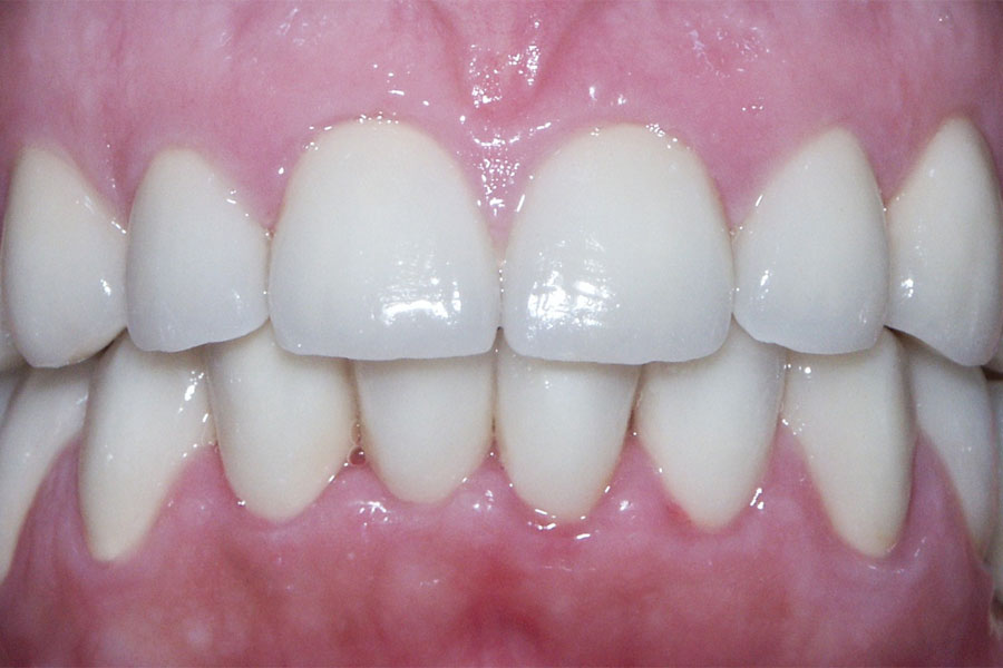
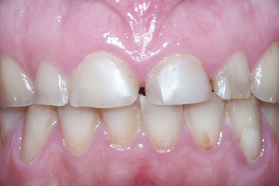
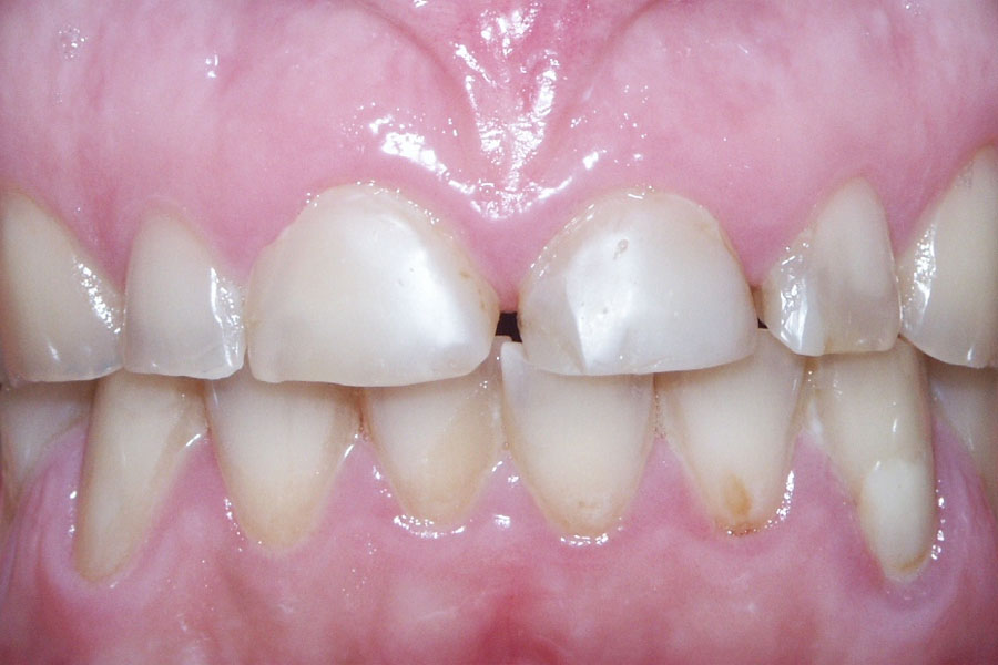
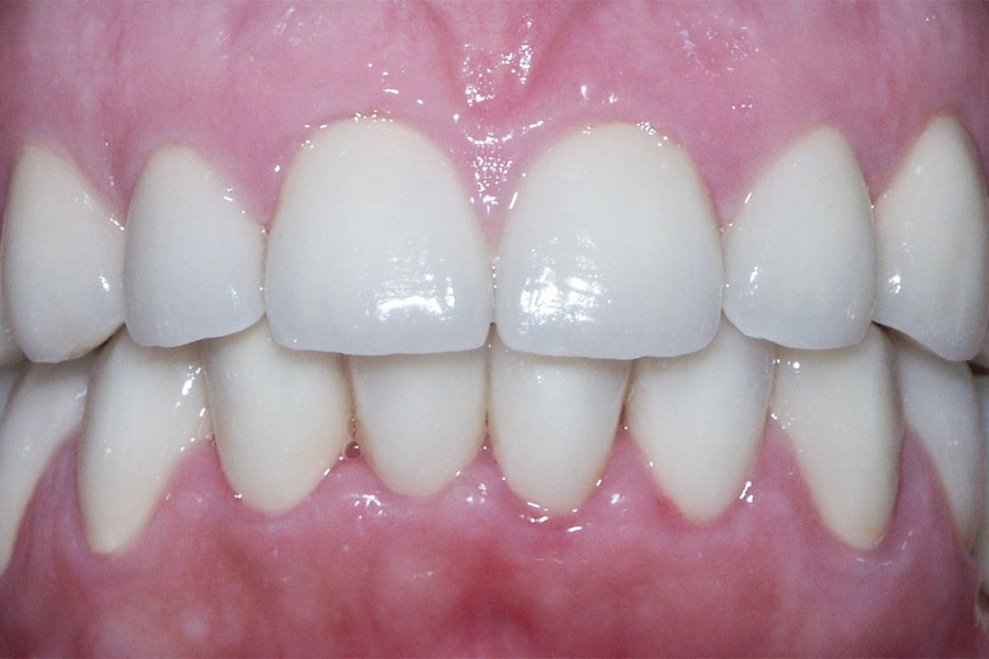
U prikazanom slučaju kod pacijenta je zbog potrošenosti zubne cakline uslijed bruksizma došlo do smanjenja visine zagriza, koja je rekonstrukturirana protetskim radom. Krunicama smo zubima vratili funkciju i estetiku, te ih zaštitili od daljnjeg trošenja.
Originalne slike našeg pacijenta prije i poslije zahvata.
dr. Marko Radmilović, spec.stom.prot.

