Estetska alternativa – jednoposjetni zahvat

Suvremeni način života nameće nam visoke estetske kriterije, između ostalog i na području stomatologije. Unatoč velikoj želji za lijepim osmijehom, keramičke ljuskice nisu nam uvijek dostižno rješenje, najčešće zbog ograničenog budžeta ili zbog nesigurnosti u donošenju odluke o nepovratnom brušenju zubi.

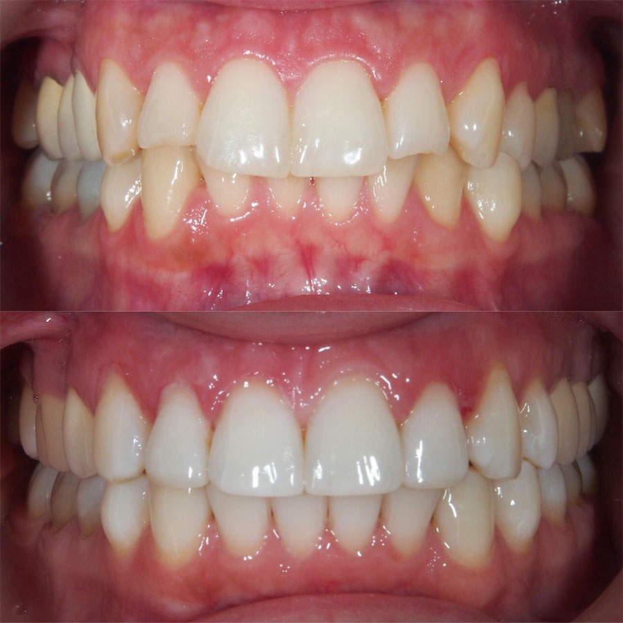
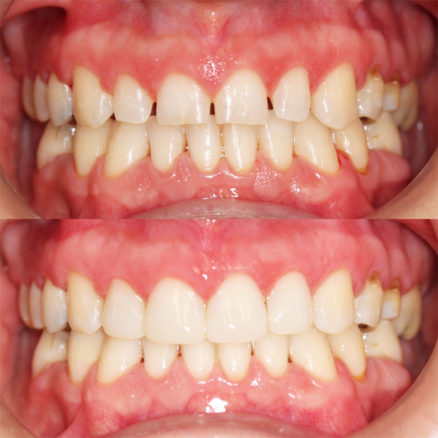
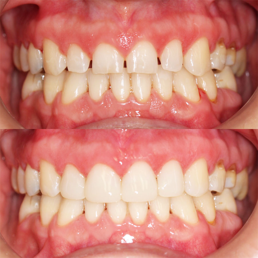
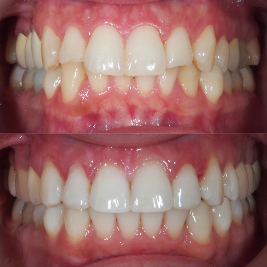
Kao alternativno estetsko rješenje pacijenti mogu odabrati KOMPOZITNE FASETE.

Pod fasetiranjem zubi podrazumijeva se nanošenje kompozitnog materijala na prednju vidljivu plohu zuba (obično prednjih zubi) s ciljem korekcije njihovog oblika, veličine, boje ili položaja (minimalne korekcije).

Fasetiranje kompozitnim materijalima spada u direktne konzervativne restauracije, što znači da zahtjeva samo jednu posjetu doktoru dentalne medicine. Prethodna priprema zuba brušenjem obično nije potrebna ili je minimalna.

Prednosti kompozitnih faseta

  1. tretman se izvodi u jednoj posjeti i traje do 1h,
  2. minimalno ili gotovo nikakvo brušenje zuba,
  3. vrlo jednostavno se korigiraju i u slučaju loma popravljaju,
  4. niska cijena (u usporedbi s keramičim ljuskicama).

Nedostaci kompozitnih faseta

  1. promjena boje uzrokovana osobinama kompozitnih materijala,
  2. trošenje na mjestima većeg žvačnog opterećenja,
  3. potreba za površinskim poliranjem (barem jednom godišnje),
  4. pucanje dijela fasete usred zamora materijala, trošenja ili funkcije.

Međutim, za razliku od kompozitnih faseta, keramičke ljuskice osiguravaju trajnost i postojanost oblika i boje dugi niz godina nakon njihove ugradnje.

Ana Andračić, dr. med. dent. specijalist dentalne protetike